Sở hữu một hàm răng đều đẹp, chuẩn khớp cắn là mong muốn của bất kỳ ai. Tuy nhiên, không ít người gặp phải tình trạng răng vừa lệch lạc, vừa bị sâu khiến họ băn khoăn: “Liệu sâu răng có niềng được không?”. Việc gắn khí cụ lên những chiếc răng đang tổn thương có làm tình trạng tệ hơn? Đừng quá lo lắng, thực tế sâu răng không phải là rào cản niềng răng. Để hiểu chi tiết hơn, bài viết dưới đây của Răng Hàm Mặt Bệnh viện Hồng Ngọc sẽ giúp bạn giải đáp chi tiết.
Sâu răng là gì? Phân loại mức độ sâu răng
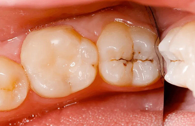
Trước khi tìm hiểu sâu răng có niềng được không, chúng ta cần hiểu rõ bản chất của bệnh lý này. Sâu răng là tình trạng tổn thương mô cứng của răng, hình thành các lỗ sâu do vi khuẩn. Tổn thương này thường bắt đầu từ lớp men răng ngoài cùng, nếu không được ngăn chặn sẽ lan dần vào ngà răng, gây đau nhức, ê buốt và cuối cùng là nhiễm trùng tủy răng.

Cấu tạo răng gồm 3 lớp, bao gồm men răng (lớp vỏ cứng bảo vệ), ngà răng (lớp trung gian) và tủy răng (chứa mạch máu, dây thần kinh). Tùy vào mức độ xâm nhập của vi khuẩn, sâu răng được chia thành các cấp độ:
Sâu răng mức độ nhẹ: Trên bề mặt răng bắt đầu xuất hiện các đốm trắng đục hoặc lỗ li ti màu đen. Lúc này vi khuẩn mới chỉ tấn công lớp men răng, người bệnh thường chưa cảm thấy đau nhức.
Sâu răng mức độ nặng: Vi khuẩn đã phá hủy men răng, ăn sâu vào ngà răng hoặc tủy răng. Răng bị khuyết một phần lớn, xuất hiện lỗ hổng rõ rệt, gây đau buốt dữ dội hoặc thậm chí chỉ còn lại chân răng.
Dấu hiệu phổ biến để nhận biết sâu răng
Bạn có thể dễ dàng nhận diện sâu răng qua những biểu hiện sau:
Biến đổi màu sắc: Xuất hiện các đốm đen, sậm màu hoặc vệt trắng đục bất thường trên bề mặt răng.
Lỗ hổng trên răng: Dùng lưỡi cảm nhận được vết khuyết hoặc thức ăn thường xuyên bị mắc kẹt vào một vị trí cố định.
Răng nhạy cảm: Cảm thấy ê buốt, đau nhức khi ăn đồ quá nóng, quá lạnh hoặc thực phẩm chứa nhiều đường.
Hơi thở có mùi: Vi khuẩn tích tụ trong các lỗ sâu gây ra mùi hôi khó chịu và vị đắng trong miệng.
Vấn đề về nướu: Nướu xung quanh răng sâu có dấu hiệu sưng tấy, dễ chảy máu khi đánh răng.

>>> Xem thêm:
Trám răng là gì? Khi nào cần trám và quy trình thực hiện ra sao?
Cầu răng sứ: Khám phá phương pháp khôi phục nụ cười toả nắng
Sâu răng có niềng được không?
Câu trả lời từ các bác sĩ chuyên khoa Răng Hàm Mặt Bệnh viện Hồng Ngọc là: Răng bị sâu vẫn có thể niềng được.
Tuy nhiên, có một điều kiện tiên quyết là bạn cần phải điều trị dứt điểm tình trạng sâu răng trước khi gắn khí cụ chỉnh nha. Việc kiểm soát các bệnh lý răng miệng là bước đệm bắt buộc để đảm bảo an toàn cho cả quá trình niềng răng kéo dài từ 1 đến 2 năm.
Vậy tại sao không thể vừa niềng vừa trị sâu răng? Có 3 lý do quan trọng mà bạn cần lưu ý:
Đảm bảo độ bền và sức chịu lực của răng: Khi niềng, bác sĩ sẽ dùng lực kéo để dịch chuyển răng về vị trí mong muốn. Răng sâu vốn đã bị mất mô, trở nên yếu và nhạy cảm hơn. Nếu không điều trị, răng sẽ không đủ chắc khỏe để chịu áp lực, dẫn đến nguy cơ gãy, vỡ răng trong quá trình chỉnh nha.
Hạn chế đau nhức kéo dài: Cảm giác ê buốt khi niềng răng kết hợp với những cơn đau buốt tận tủy của răng sâu sẽ trở thành cơn ác mộng đối với bất kỳ ai. Điều trị sớm giúp bạn có tâm lý thoải mái và sức khỏe tốt hơn để theo kịp lộ trình niềng.
Ngăn ngừa lây lan và biến chứng: Nếu để nguyên vết sâu và gắn mắc cài, vi khuẩn sẽ có nơi trú ngụ lý tưởng, khiến tình trạng sâu răng nặng thêm, lây sang các răng khỏe mạnh bên cạnh, thậm chí gây viêm tủy, áp xe xương hàm.

Các cách xử lý, điều trị tình trạng sâu răng trước khi niềng
Tùy vào mức độ tổn thương của răng, bác sĩ sẽ chỉ định phương pháp xử lý phù hợp nhằm bảo tồn tối đa răng thật của người bệnh:
| Tình trạng sâu răng | Phương pháp xử lý trước khi niềng |
| Sâu răng nhẹ | Bác sĩ thực hiện tái khoáng, bổ sung Fluor để lấp đầy các lỗ đen li ti, ngăn chặn vi khuẩn phát triển thêm. |
| Sâu răng mức độ vừa | Thực hiện hàn trám răng với miếng trám cứng, có màu sắc tự nhiên và hoàn toàn chịu được lực kéo khi niềng mà không lo bị bong tróc. |
| Sâu nặng vào đến tủy | Cần điều trị tủy triệt để, sau đó bọc răng sứ để bảo vệ thân răng. Răng đã lấy tủy thường giòn và dễ vỡ, việc bọc sứ sẽ giúp răng vững chắc hơn khi gắn mắc cài. |
| Sâu vỡ hết thân răng | Nếu chân răng còn tốt, bác sĩ sẽ chữa tủy và phục hình sứ để niềng. Trường hợp răng bị phá hủy quá nặng không thể giữ lại, bác sĩ buộc phải nhổ bỏ. Khoảng trống này có thể được tận dụng để dàn đều các răng khác hoặc trồng Implant sau khi niềng xong. |
Một số phương pháp niềng răng phổ biến nhất hiện nay
Sau khi các răng sâu đã được điều trị ổn định, bạn có thể lựa chọn một trong các phương pháp chỉnh nha sau đây tùy theo nhu cầu thẩm mỹ, tình trạng răng, chỉ định của bác sĩ và điều kiện kinh tế:
Niềng răng mắc cài kim loại: Đây là phương pháp “vàng” về hiệu quả và tiết kiệm chi phí. Các mắc cài bằng thép không gỉ giúp dịch chuyển răng nhanh chóng, kể cả những ca hô, móm phức tạp. Bạn có thể chọn loại mắc cài tự buộc để giảm ma sát, giúp răng di chuyển êm ái hơn.
Niềng răng mắc cài sứ: Vẫn sử dụng hệ thống dây cung và mắc cài nhưng các nốt mắc cài được làm từ sứ cao cấp có màu sắc trùng với màu răng. Điều này giúp bạn tự tin hơn trong giao tiếp vì người đối diện khó nhận ra bạn đang niềng răng.
Niềng răng trong suốt Invisalign: Đây được xem là công nghệ hiện đại nhất hiện nay. Thay vì mắc cài, bạn sẽ đeo nhựa trong suốt có thể tháo lắp dễ dàng. Invisalign cực kỳ phù hợp với những người bận rộn hoặc yêu cầu tính thẩm mỹ tuyệt đối, đồng thời giúp việc vệ sinh răng sâu trước đó trở nên thuận tiện hơn rất nhiều.

Lưu ý để hạn chế tình trạng sâu răng khi niềng
Quá trình đeo mắc cài khiến thức ăn rất dễ bám lại, nếu không chăm sóc kỹ, tình trạng sâu răng rất dễ tái phát. Để bảo vệ nụ cười, bạn nên nằm lòng các quy tắc sau:
Vệ sinh răng miệng đúng cách:
Sử dụng bàn chải lông mềm và bàn chải kẽ chuyên dụng để làm sạch từng ngóc ngách của mắc cài.
Đầu tư máy tăm nước để loại bỏ mảng bám ở kẽ răng - nơi mà bàn chải thông thường không chạm tới được.
Súc miệng bằng dung dịch chứa Fluoride để tăng cường lớp màng bảo vệ men răng.

Chế độ ăn uống khoa học:
Hạn chế ăn đồ ăn quá dai, quá cứng (dễ làm bong mắc cài) hoặc đồ ăn quá nhiều đường, axit (tăng nguy cơ sâu răng).
Nên cắt nhỏ thức ăn và ăn các món mềm, bổ sung nhiều rau xanh, vitamin để nướu luôn khỏe mạnh.
Tuân thủ lịch tái khám: Đừng quên đến gặp bác sĩ đúng hẹn để kiểm tra lực kéo và thực hiện vệ sinh răng chuyên sâu định kỳ.
>>> Xem thêm:
Chi phí niềng răng đối với trường hợp răng bị sâu
Tổng chi phí cho một ca niềng răng khi có răng sâu thường bao gồm: Giá gói niềng + Chi phí điều trị bệnh lý. Mức giá này sẽ dao động tùy thuộc vào các yếu tố:
Mức độ tổn thương: Trám răng sâu nhẹ sẽ có chi phí thấp hơn nhiều so với việc điều trị tủy hay bọc răng sứ.
Loại khí cụ lựa chọn: Niềng răng mắc cài kim loại luôn là lựa chọn kinh tế nhất, trong khi Invisalign có mức giá cao hơn tương xứng với sự tiện lợi mà nó mang lại.
Cơ sở thực hiện: Tại các đơn vị uy tín như Răng Hàm Mặt Bệnh viện Hồng Ngọc, chi phí luôn đi đôi với chất lượng dịch vụ, tay nghề bác sĩ và hệ thống máy móc hiện đại, giúp bạn an tâm về kết quả cuối cùng.
Kết luận
Tóm lại, với câu hỏi “Sâu răng có niềng được không?”, câu trả lời hoàn toàn là có. Điều quan trọng nhất là bạn cần tìm được một địa chỉ nha khoa uy tín để xử lý triệt để các vết sâu trước khi bắt đầu hành trình niềng răng.
Hi vọng những thông tin trên đã giúp bạn gạt bỏ nỗi lo về răng sâu để tự tin hơn trong việc quyết định chỉnh nha. Nếu còn bất kỳ thắc mắc nào, hãy liên hệ ngay với đội ngũ bác sĩ Răng Hàm Mặt Bệnh viện Hồng Ngọc để được tư vấn lộ trình cá nhân hóa phù hợp và hiệu quả nhất.
KHOA RĂNG HÀM MẶT BỆNH VIỆN HỒNG NGỌC – NHA SĨ RIÊNG CỦA BẠN! 📞 Hotline đặt lịch: 091.110.3243 - Tổng đài: 024.3927.5565 🌐 Website: https://thammyhongngoc.vn/nha-khoa 📍 Hệ thống phòng khám Răng Hàm Mặt Hồng Ngọc tại Hà Nội: - CS1: Tầng 2, Bệnh viện Hồng Ngọc - Số 55 Phố Yên Ninh, phường Ba Đình, Hà Nội - CS2: Tầng B1, tầng 1 & tầng 4, Bệnh viện Hồng Ngọc Phúc Trường Minh - Số 8 đường Châu Văn Liêm, phường Từ Liêm, Hà Nội - CS3: Tầng 1, GoldSeason - Số 47 Nguyễn Tuân, phường Thanh Xuân, Hà Nội - CS4: Tầng 10, Keangnam Landmark Tower, phường Yên Hòa, Hà Nội - CS5: Tầng 3, Tasco Mall - 7 - 9 đường Nguyễn Văn Linh, phường Việt Hưng, Hà Nội - CS6: Tầng 1, HPC Landmark 105 - Khu ĐTM Văn Khê, phường Hà Đông, Hà Nội - CS7: Tầng 1, 2 & 3 Tòa nhà Kosmo - 161 Xuân La, phường Xuân Đỉnh, Hà Nội |










