Điều trị nha bệnh lý là gì?
Hiểu một cách đơn giản, điều trị nha bệnh lý là tổng hợp các phương pháp chẩn đoán và can thiệp y khoa nhằm loại bỏ tổn thương do bệnh lý gây ra trên răng, nướu và các tổ chức quanh răng.

Mục tiêu cốt lõi của quá trình này là bảo tồn răng thật tối đa, phục hồi chức năng ăn nhai và thẩm mỹ, đồng thời ngăn ngừa bệnh tái phát.
Các loại bệnh lý răng miệng thường gặp
Các bệnh lý về răng miệng rất đa dạng và có thể ảnh hưởng đến cả răng, nướu cũng như mô xung quanh. Việc hiểu rõ các bệnh thường gặp giúp bạn chủ động hơn trong việc phòng ngừa và điều trị kịp thời.
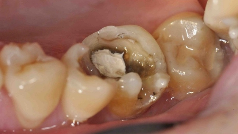
Sâu răng (Dental Caries)
Đây là tình trạng men răng và ngà răng bị phá hủy do vi khuẩn trong mảng bám kết hợp với đường và tinh bột tạo ra axit ăn mòn răng.
Dấu hiệu nhận biết: xuất hiện các đốm trắng, nâu hoặc đen trên răng, đau nhức hoặc ê buốt khi ăn đồ nóng, lạnh, chua hoặc ngọt.

Viêm tủy răng (Pulpitis)
Xảy ra khi sâu răng không được điều trị kịp thời, lan vào phần tủy chứa dây thần kinh và mạch máu.
Biểu hiện: đau nhức dữ dội, kéo dài, đặc biệt về đêm, đôi khi cơn đau lan lên vùng đầu hoặc tai.

Mòn răng
Thường gặp ở người có thói quen nghiến răng hoặc do axit trong thực phẩm, nước ngọt, trào ngược dạ dày làm mòn dần lớp men răng.
Biểu hiện: răng trở nên nhạy cảm, ngắn hơn, mặt nhai bị mòn phẳng hoặc lõm xuống.
Răng nhạy cảm
Là cảm giác ê buốt thoáng qua khi răng tiếp xúc với đồ ăn, thức uống quá nóng, lạnh, chua hoặc ngọt. Đây có thể là dấu hiệu ban đầu của mòn men răng hoặc tụt lợi.
Viêm nướu (Gingivitis)
Giai đoạn sớm của bệnh nướu, xảy ra khi mảng bám tích tụ lâu ngày không được làm sạch.
Biểu hiện: nướu sưng đỏ, dễ chảy máu khi đánh răng hoặc dùng chỉ nha khoa.

Viêm nha chu (Periodontitis)
Là giai đoạn tiến triển của viêm nướu, khi tình trạng viêm lan sâu xuống mô và xương nâng đỡ răng.
Biểu hiện: nướu tụt, răng lung lay, có mủ ở chân răng, hơi thở hôi kéo dài. Nếu không điều trị, bệnh có thể dẫn đến mất răng.
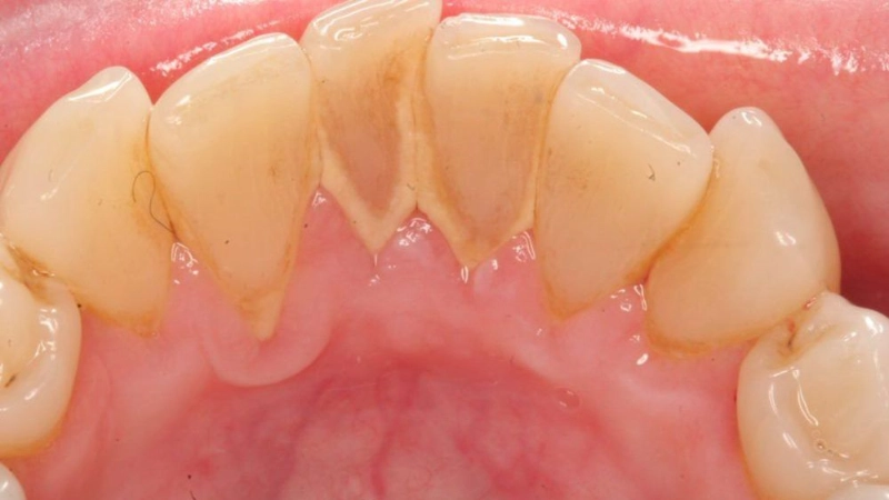
Cao răng (Calculus)
Là mảng bám đã bị khoáng hóa, cứng lại trên răng và dưới nướu, không thể loại bỏ bằng bàn chải thông thường.
Tác hại: là môi trường thuận lợi cho vi khuẩn phát triển, gây viêm nướu, viêm nha chu và hôi miệng.

Ưu điểm của việc điều trị nha bệnh lý sớm
Không chỉ giúp loại bỏ triệu chứng khó chịu, điều trị sớm các bệnh lý răng miệng còn mang lại nhiều lợi ích lâu dài cho sức khỏe:
- Bảo tồn răng thật tối đa: giúp ngăn chặn sự tiến triển của bệnh, đặc biệt là sâu răng và viêm tủy, tránh phải nhổ răng.
- Tiết kiệm chi phí và thời gian: điều trị sớm (như trám răng, cạo vôi) đơn giản, nhanh chóng và ít tốn kém hơn nhiều so với các thủ thuật phức tạp như cấy implant hay làm cầu răng sứ.
- Phòng ngừa biến chứng: ngăn chặn viêm nhiễm lan rộng, tránh áp xe, tiêu xương hoặc ảnh hưởng đến sức khỏe toàn thân (ví dụ: bệnh tim mạch, tiểu đường có liên quan đến viêm nha chu).
- Duy trì chức năng ăn nhai và thẩm mỹ: giúp răng hoạt động bình thường, không đau nhức, đồng thời mang lại nụ cười tự tin và tự nhiên.
Khi nào cần điều trị nha bệnh lý?
Bạn nên đến nha khoa thăm khám ngay khi xuất hiện một trong các dấu hiệu sau:
- Đau nhức răng kéo dài, đau tự phát hoặc đau khi ăn nhai, tiếp xúc với nóng, lạnh.
- Răng đổi màu, có đốm đen hoặc lỗ sâu.
- Chảy máu nướu khi đánh răng hoặc dùng chỉ nha khoa.
- Nướu sưng đỏ, có mủ quanh chân răng.
- Hơi thở có mùi hôi kéo dài dù đã vệ sinh kỹ.
- Răng lung lay, tụt lợi.
- Cảm giác ê buốt răng kéo dài.
Việc phát hiện sớm và điều trị kịp thời sẽ giúp tránh được những tổn thương nặng nề cho răng và mô quanh răng.
Quy trình điều trị nha bệnh lý tại Răng Hàm Mặt Hồng Ngọc
Tại Khoa Răng Hàm Mặt Hồng Ngọc, quy trình điều trị nha bệnh lý được xây dựng một cách chặt chẽ, khoa học và tuân thủ nghiêm ngặt các tiêu chuẩn y tế quốc tế, nhằm đảm bảo an toàn và hiệu quả tối ưu cho mọi khách hàng:
Bước 1. Thăm khám, chẩn đoán chính xác và lập kế hoạch điều trị
Đây là bước nền tảng quyết định sự thành công của điều trị.

- Thăm khám lâm sàng chuyên sâu: Bác sĩ chuyên khoa sẽ tiến hành khám tổng quát khoang miệng, cẩn thận lắng nghe, ghi nhận các triệu chứng cụ thể, tiền sử bệnh lý của khách hàng và đánh giá tình trạng răng, nướu, mô mềm.
- Chẩn đoán hình ảnh: Thực hiện chụp phim X-quang chuyên dụng để đánh giá mức độ và phạm vi tổn thương (sâu răng, viêm tủy, tiêu xương, áp xe...).
- Lập kế hoạch điều trị: Dựa trên dữ liệu chẩn đoán, bác sĩ sẽ phân tích chi tiết và đưa ra kế hoạch điều trị cá nhân hóa tối ưu nhất, giải thích rõ ràng về các phương pháp, thời gian và chi phí cho khách hàng.
Bước 2. Vệ sinh răng miệng
Trước khi tiến hành điều trị chuyên sâu, việc kiểm soát nhiễm khuẩn là bắt buộc để đảm bảo vô trùng:
- Vệ sinh răng: Tiến hành lấy cao răng (vôi răng) và làm sạch mảng bám trên toàn bộ hàm răng (nếu cần thiết) để tạo môi trường khoang miệng sạch sẽ.
- Sát khuẩn: Bác sĩ sẽ sát khuẩn kỹ lưỡng khoang miệng bằng dung dịch chuyên dụng. Tất cả dụng cụ y tế sử dụng đều được tiệt khuẩn theo quy trình chuẩn của Bộ Y tế, giúp ngăn ngừa tối đa nguy cơ nhiễm trùng chéo.
Bước 3. Tiến hành điều trị chuyên sâu
Tùy thuộc vào bệnh lý được chẩn đoán, bác sĩ sẽ thực hiện các can thiệp chuyên sâu phù hợp:

- Bệnh lý sâu răng/mòn cổ răng: Áp dụng trám răng bằng vật liệu composite hoặc GIC chất lượng cao để tái tạo hình thể và bảo tồn răng.
- Bệnh lý tủy (viêm tủy, tủy hoại tử): Thực hiện điều trị tủy răng (nội nha) bằng kỹ thuật hiện đại, loại bỏ hoàn toàn mô tủy bị viêm, làm sạch và hàn kín hệ thống ống tủy.
- Bệnh lý nha chu (viêm nướu, viêm nha chu): Tiến hành cạo vôi răng dưới nướu (nạo túi nha chu) và có thể kết hợp phẫu thuật nha chu nếu tình trạng tiêu xương nghiêm trọng.
- Răng bệnh lý không thể bảo tồn: Thực hiện nhổ răng (răng khôn mọc lệch, răng sâu/vỡ lớn không thể phục hồi) bằng kỹ thuật không đau, ít sang chấn.
* Lưu ý: Với mỗi bệnh lý răng miệng khác nhau, bác sĩ sẽ có phác đồ và lộ trình điều trị phù hợp khác nhau cho từng khách hàng.
Bước 4. Phục hình răng (Khi cần thiết)
Sau khi loại bỏ triệt để bệnh lý, bước phục hồi sẽ giúp khôi phục chức năng ăn nhai và thẩm mỹ:
- Bọc răng sứ: Thường áp dụng sau khi điều trị tủy để bảo vệ cấu trúc răng đã yếu đi, hoặc khi răng bị nứt, mẻ, vỡ lớn cần phục hình bằng vật liệu bền chắc.
- Phục hình khác: Tái tạo hình thể răng bằng composite hoặc các phương pháp phục hình cố định, tháo lắp khác tùy thuộc vào tình trạng mất mô răng.
Bước 5. Hướng dẫn chăm sóc tại nhà & lên lịch tái khám định kỳ
Giai đoạn theo dõi là cực kỳ quan trọng để đảm bảo kết quả điều trị lâu dài:

- Hẹn lịch tái khám: Khách hàng được lên lịch tái khám định kỳ (thường là 3–6 tháng/lần) để bác sĩ kiểm tra hiệu quả của điều trị (mức độ lành thương, tình trạng phục hình) và phát hiện sớm các vấn đề phát sinh.
- Tư vấn chăm sóc: Bác sĩ và chuyên viên sẽ hướng dẫn chi tiết về kỹ thuật vệ sinh răng miệng (chải răng, dùng chỉ nha khoa, máy tăm nước) và chế độ ăn uống đúng cách để duy trì sức khỏe răng miệng tối ưu tại nhà.
Quy trình này đảm bảo mỗi khách hàng tại Răng Hàm Mặt Hồng Ngọc đều được chăm sóc y tế một cách toàn diện và chất lượng nhất.
Đặc quyền khi điều trị nha bệnh lý tại Răng Hàm Mặt Hồng Ngọc
Lựa chọn điều trị nha bệnh lý tại Răng hàm mặt Hồng Ngọc là bước đầu tiên để bạn gìn giữ nụ cười khỏe mạnh lâu dài. Dịch vụ của chúng tôi mang đến những lợi ích vượt trội:
- Đội ngũ bác sĩ giàu kinh nghiệm: các chuyên gia nội nha, nha chu và phục hồi răng có chuyên môn sâu, chẩn đoán chính xác và điều trị triệt để các bệnh lý phức tạp.
- Phác đồ điều trị cá nhân hóa 1:1: Tùy vào tình trạng răng miệng cụ thể, các bác sĩ sẽ tiến hành xây dựng lộ trình và phác đồ điều trị cá nhân hóa, giúp đảm bảo đồng thời tính thẩm mỹ, chức năng và an toàn cho KH.
- Trang thiết bị hiện đại: ứng dụng công nghệ tiên tiến như máy X-quang kỹ thuật số, hệ thống nội nha máy, máy laser… hỗ trợ điều trị chính xác, nhanh chóng và ít xâm lấn.
- Quy trình chuẩn y khoa, đảm bảo các dụng cụ được vô trùng tuyệt đối: tuân thủ nghiêm ngặt quy trình dịch vụ đúng chuẩn y khoa và các tiêu chuẩn vô trùng dụng cụ y tế của Bộ Y tế, đảm bảo an toàn và ngăn ngừa lây nhiễm chéo.
- Bảo tồn tối đa răng thật: chỉ nhổ răng khi răng không cần thiết, không ảnh hưởng chức năng, không còn khả năng phục hồi, giúp duy trì răng thật bền vững lâu dài.
- Chăm sóc tận tâm và toàn diện: khách hàng được tư vấn kỹ lưỡng về tình trạng răng, phác đồ điều trị và hướng dẫn chăm sóc tại nhà để duy trì kết quả bền đẹp.
Hình ảnh khách hàng cười rạng rỡ sau khi điều trị nha bệnh lý thành công tại Răng hàm mặt Hồng Ngọc

Những câu hỏi thường gặp về điều trị nha bệnh lý?
Điều trị nha bệnh lý có đau không?
Thông thường, trong quá trình điều trị bác sĩ sẽ gây tê tại chỗ nên bạn hầu như không cảm thấy đau. Sau khi hết thuốc tê, vùng răng điều trị có thể hơi ê nhẹ từ 1–2 ngày nhưng hoàn toàn trong ngưỡng chịu đựng. Cảm giác này sẽ giảm nhanh nếu bạn uống thuốc và vệ sinh răng miệng theo đúng hướng dẫn.
Điều trị nha bệnh lý có mất nhiều thời gian không?
Tùy vào mức độ tổn thương và phương pháp điều trị, thời gian có thể dao động từ 1 buổi (với trám răng sâu nhẹ) đến vài buổi (với điều trị tủy hoặc nha chu). Bác sĩ sẽ thăm khám, chụp phim và đưa ra phác đồ cụ thể giúp bạn chủ động sắp xếp thời gian.
Sau điều trị nha bệnh lý có cần nghỉ ngơi hay kiêng cữ gì không?
Thông thường, bạn có thể sinh hoạt bình thường sau điều trị. Tuy nhiên nên tránh ăn đồ quá cứng, quá nóng hoặc quá lạnh trong vài ngày đầu. Giữ vệ sinh răng miệng sạch sẽ, chải răng nhẹ nhàng và tái khám đúng hẹn để theo dõi kết quả.
Đừng để những vấn đề nhỏ của răng miệng trở thành nỗi lo lớn. Hãy đặt lịch hẹn tại Răng Hàm Mặt Hồng Ngọc để được đội ngũ bác sĩ chuyên khoa thăm khám, chẩn đoán và điều trị tận gốc mọi bệnh lý, mang lại cho bạn nụ cười khỏe mạnh, tự tin và bền vững theo thời gian.
HỆ THỐNG PHÒNG KHÁM RĂNG HÀM MẶT HỒNG NGỌC - Nha sĩ riêng của Bạn! CS1: Tầng 2, Bệnh viện Hồng Ngọc - Số 55 Phố Yên Ninh, phường Ba Đình, Hà Nội CS2: Tầng B1, tầng 1 & tầng 4 Bệnh Viện Hồng Ngọc Phúc Trường Minh - số 8 đường Châu Văn Liêm, phường Từ Liêm, Hà Nội CS3: Tầng 1, Gold Season - số 47 Nguyễn Tuân, phường Thanh Xuân, Hà Nội CS4: Tầng 10, Keangnam Landmark Tower - phường Yên Hòa, Hà Nội CS5: Tầng 3, Tasco Mall - 7 - 9 đường Nguyễn Văn Linh, phường Việt Hưng, Hà Nội CS6: Tầng 1, HPC Landmark 105 - Khu ĐTM Văn Khê, phường Hà Đông, Hà Nội CS7: Tầng 1, 2 & 3 Tòa nhà Kosmo - 161 Xuân La, phường Xuân Đỉnh, Hà Nội Hotline đặt lịch: 091.110.3243 - Tổng đài: 024.3927.5565 |


