Răng miệng khỏe mạnh không chỉ giúp bạn tự tin trong giao tiếp mà còn ảnh hưởng trực tiếp đến sức khỏe tổng thể. Tuy nhiên, nhiều người vẫn gặp phải các bệnh lý răng miệng phổ biến như sâu răng, viêm nướu, hay viêm nha chu mà không biết cách phòng tránh hiệu quả. Ở bài viết này, hãy cùng Răng Hàm Mặt Hồng Ngọc điểm qua 15 bệnh răng miệng thường gặp dễ mắc phải và các cách phòng tránh để bảo vệ sức khỏe răng miệng tốt nhất!
Triệu chứng chung của các bệnh lý răng miệng
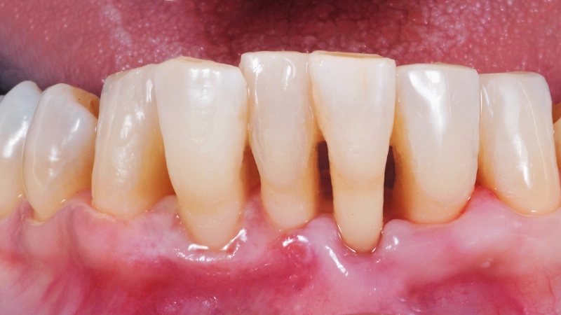
Các bệnh lý răng miệng thường có những triệu chứng khá rõ ràng, giúp bạn nhận diện và có biện pháp xử lý kịp thời.
Dưới đây là một số triệu chứng chung của bệnh lý răng miệng bao gồm:
- Đau nhức răng, đặc biệt là khi ăn hoặc uống đồ nóng, lạnh.
- Chảy máu nướu khi đánh răng hoặc ăn.
- Miệng có mùi hôi hoặc cảm giác khô miệng.
- Sưng tấy, viêm đỏ ở nướu.
- Mảng bám răng xuất hiện nhiều, có màu vàng hoặc nâu.
- Nứt, sứt mẻ răng
- Mất răng hoặc các răng bị lỏng lẻo.
15 bệnh lý răng miệng dễ mắc phải hiện nay
1 - Viêm lợi

- Nguyên nhân: Viêm lợi xảy ra khi mảng bám và vi khuẩn tích tụ dưới viền lợi gây ra viêm nhiễm. Ngoài ra, việc thay đổi hormone trong quá trình mang thai, mãn kinh, hoặc dùng một số loại thuốc cũng có thể là nguyên nhân.
- Tác hại: Viêm lợi nếu không điều trị kịp thời có thể tiến triển thành viêm nha chu, gây mủ, tụt lợi, làm răng lung lay và thậm chí mất răng.
2 - Sâu răng
- Nguyên nhân: Vi khuẩn trong miệng tấn công men răng, tạo ra các lỗ sâu trên bề mặt răng. Nguyên nhân chủ yếu là do vệ sinh răng miệng không đúng cách và ăn uống quá nhiều thực phẩm chứa đường và tinh bột.
- Tác hại: Sâu răng gây đau nhức, khó ăn uống và có thể dẫn đến nhiễm trùng tủy răng, làm răng mất chức năng và cần nhổ nếu không được điều trị.
3 - Hôi miệng
- Nguyên nhân: Hôi miệng thường do thức ăn thừa giắt trong răng, thói quen ăn thực phẩm nặng mùi, hoặc các bệnh lý răng miệng như viêm nha chu.
- Tác hại: Hôi miệng không chỉ mất tự tin mà còn có thể là dấu hiệu của các bệnh nghiêm trọng như viêm lợi hay sâu răng.
4 - Loét miệng
- Nguyên nhân: Loét miệng có thể do tổn thương cơ học, stress, thiếu vitamin, hoặc dùng sản phẩm chứa sodium lauryl sulfate trong kem đánh răng.
- Tác hại: Loét miệng gây đau đớn khi ăn uống, làm giảm chất lượng cuộc sống và dễ tái phát nếu không chăm sóc đúng cách.
5 - Viêm nha chu
- Nguyên nhân: Viêm nha chu xảy ra khi mảng bám không được làm sạch, vi khuẩn lây lan gây viêm ở nướu, xương ổ răng, và dây chằng nha chu.
- Tác hại: Viêm nha chu không được điều trị có thể dẫn đến tiêu xương ổ răng, làm răng lung lay và gây mất răng.
6 - Viêm tủy răng
- Nguyên nhân: Nguyên nhân của tình trạng này có thể từ các vi khuẩn xâm nhập vào tủy răng qua các lỗ sâu răng, các cuống răng,… Ngoài ra, viêm tủy răng cũng có thể do nhiễm hóa chất (độc chì, thủy ngân), răng bị vỡ, mẻ, chấn thương, viêm quanh răng,…
- Tác hại: Viêm tủy gây đau nhức dữ dội, có thể lan rộng, dẫn đến nhiễm trùng tủy, hoại tử tủy, và nếu không điều trị sẽ dẫn đến mất răng.
7 - Vôi hóa tuyến nước bọt
- Nguyên nhân: Tình trạng này xuất hiện do canxi có trong nước bọt lắng đọng, lâu dần biến thành sỏi nằm chắn giữa tuyến nước bọt, gây viêm vùng sàn miệng, viêm tuyến dưới hàm.
- Tác hại: Sự hình thành sỏi có thể gây đau nhức, sưng tấy và ảnh hưởng đến khả năng tiết nước bọt, làm tắc nghẽn tuyến nước bọt, gây khó khăn khi ăn uống.
8 - Viêm khớp thái dương hàm
- Nguyên nhân: Viêm khớp thái dương hàm là một loại rối loạn thái dương hàm gây đau ở khớp hàm và các cơ kiểm soát chuyển động của hàm, có thể do các bệnh lý liên quan đến xương khớp như thoái hóa khớp, bệnh viêm khớp dạng thấp, khớp nhiễm khuẩn,…
- Tác hại: Viêm khớp thái dương hàm gây đau cơ hàm, khó khăn khi nhai, và có thể dẫn đến các vấn đề lâu dài nếu không điều trị kịp thời.
9 - Răng khôn mọc lệch

- Nguyên nhân: Răng khôn là răng mọc muộn nhất của hàm răng. Răng khôn thường phát triển không đúng cách do xương hàm đã ổn định, có độ cứng cao, không còn tăng trưởng nên răng khôn thiếu không gian để mọc bình thường.
- Tác hại: Răng khôn mọc lệch có thể gây đau nhức, viêm lợi, gây sâu răng số 7 và ảnh hưởng đến các răng khác trong hàm nếu không điều trị kịp thời.
10 - Răng nhạy cảm
- Nguyên nhân: Răng nhạy cảm là một vấn đề phổ biến, thường xuất hiện khi lớp men răng bị bào mòn, không còn khả năng bảo vệ ngà răng, sâu răng, tụt nướu răng hoặc thói quen nghiến răng. Ngoài ra, cũng có thể do sử dụng lông bàn chải đánh răng quá cứng làm tổn thương răng hoặc chế độ ăn chứa nhiều thực phẩm axit gây xói mòn men răng.
- Tác hại: Răng nhạy cảm gây đau đớn khi tiếp xúc với thức ăn lạnh, nóng hoặc chua, ảnh hưởng đến sinh hoạt và ăn uống.
11 - Nghiến răng
- Nguyên nhân: Nghiến răng có thể xảy ra ngay cả trong lúc ngủ và thậm chí là khi thức. Hiện tượng nghiến răng được coi là một tình trạng đa yếu tố với các nguyên nhân gây ra chẳng hạn như stress, rối loạn giấc ngủ, răng mọc lệch,…
- Tác hại: Nghiến răng gây mài mòn răng, đau cơ hàm, và có thể làm hỏng răng và mô mềm trong khoang miệng.
12 - Răng thưa
- Nguyên nhân: Răng mọc tách xa nhau hoặc không đồng đều, do di truyền, răng mọc ngược, hoặc các vấn đề răng miệng khác như bệnh nha chu.
- Tác hại: Răng thưa không chỉ mất thẩm mỹ mà còn tạo điều kiện cho vi khuẩn phát triển, gây sâu răng và viêm lợi.
13 - Răng khấp khểnh

- Nguyên nhân: Răng khấp khểnh có thể do nhiều yếu tố, bao gồm mầm răng lệch, xương hàm nhỏ, mất răng sữa sớm, thói quen xấu như mút đẩy lưỡi, mút tay, hoặc tình trạng thiếu hụt vitamin và khoáng chất, tất cả đều ảnh hưởng đến quá trình hình thành và phát triển của cấu trúc xương răng, khiến các răng vĩnh viễn mọc không đều.
- Tác hại: Răng khấp khểnh gây khó khăn khi vệ sinh, làm tăng nguy cơ sâu răng và bệnh nha chu.
14 - Nứt gãy chân răng

- Nguyên nhân: Nứt gãy chân răng có thể do tai nạn, chấn thương, thói quen nghiến răng gây áp lực mạnh lên răng, hoặc do các bệnh lý răng miệng như sâu răng hoặc viêm lợi.
- Tác hại: Nứt gãy chân răng gây đau đớn, viêm tủy, và có thể phải nhổ răng nếu không điều trị kịp thời.
15 - Ung thư nướu răng
- Nguyên nhân: Ung thư nướu răng là trường hợp các tế bào ở nướu răng phát triển ngoài tầm kiểm soát và hình thành các tổn thương hoặc khối u. Sử dụng thuốc lá và thường xuyên uống quá nhiều rượu có thể làm tăng nguy cơ mắc bệnh ung thư nướu.
- Tác hại: Ung thư nướu có thể lan rộng và ảnh hưởng đến các mô xung quanh, làm giảm khả năng duy trì hàm răng khỏe mạnh.
Cách phòng tránh các bệnh lý răng miệng hiệu quả
Để phòng ngừa các bệnh lý răng miệng, bạn nên thực hiện những thói quen chăm sóc răng miệng đơn giản nhưng hiệu quả sau đây:
- Giảm số lượng vi khuẩn có hại: Đánh răng đúng cách, ít nhất 2 lần/ngày vào buổi sáng, sau khi ăn và trước khi đi ngủ. Đồng thời, sử dụng chỉ nha khoa hoặc máy tăm nước để làm sạch mảng bám, giúp loại bỏ vi khuẩn ở những kẽ răng mà bàn chải không thể chạm tới.
- Kiểm soát chế độ ăn uống: Hạn chế thực phẩm quá nóng hoặc quá lạnh, và đặc biệt giảm ăn đồ ngọt có đường và tinh bột dễ gây sâu răng. Thay vào đó, tăng cường thực phẩm chứa nhiều chất xơ, rau củ quả để giúp làm sạch răng tự nhiên và cung cấp dưỡng chất cho men răng.
- Sử dụng kem đánh răng và nước súc miệng có Flour: Flour là khoáng chất quan trọng trong quá trình tạo ngà răng và men răng, giúp bảo vệ răng khỏi sự tấn công của vi khuẩn, phòng ngừa sâu răng hiệu quả.
- Tái khám răng miệng định kỳ: Đến nha sĩ ít nhất 6 tháng một lần để được kiểm tra và phát hiện sớm các vấn đề về răng miệng. Việc tái khám định kỳ giúp bạn phát hiện kịp thời các dấu hiệu bệnh lý, từ đó điều trị và ngăn ngừa các biến chứng nghiêm trọng.

Răng miệng khỏe mạnh là nền tảng quan trọng cho sức khỏe tổng thể. Hãy duy trì thói quen chăm sóc răng miệng đúng cách để phòng tránh các bệnh lý nguy hiểm.
Tại Răng Hàm Mặt Hồng Ngọc, mỗi khách hàng đều được bác sĩ chuyên khoa giàu kinh nghiệm thăm khám trực tiếp 1:1, đánh giá chi tiết tình trạng răng miệng và xây dựng phác đồ điều trị cá nhân hóa, đảm bảo hiệu quả và an toàn tối đa.
Kết hợp cùng hệ thống thiết bị hiện đại, công nghệ chẩn đoán hình ảnh tiên tiến và quy trình vô khuẩn chuẩn quốc tế, Răng Hàm Mặt Hồng Ngọc giúp phát hiện sớm, điều trị đúng và phòng tránh hiệu quả các bệnh lý răng miệng thường gặp. Nhờ đó, khách hàng không chỉ được bảo vệ sức khỏe răng miệng mà còn duy trì nụ cười tự tin, ăn ngon và sống khỏe mỗi ngày.
TÌM HIỂU THÊM VỀ CÁC BỆNH LÝ RĂNG MIỆNG
Inbox đặt lịch thăm khám miễn phí hoặc gọi ngay hotline: 0912.854.193 hoặc tổng đài 024.3927.5565 để được tư vấn chi tiết và giữ suất ưu đãi sớm nhất.
Đừng quên theo dõi Fanpage Răng Hàm Mặt Bệnh viện Hồng Ngọc để không bỏ lỡ các chương trình ưu đãi mới nhất: https://www.facebook.com/ranghammatbenhvienhongngoc
| HỆ THỐNG PHÒNG KHÁM RĂNG HÀM MẶT HỒNG NGỌC: CS1: Tầng 2, Bệnh viện Hồng Ngọc - Số 55 Phố Yên Ninh, phường Ba Đình, Hà Nội CS2: Tầng B1, tầng 1 & tầng 4 Bệnh Viện Hồng Ngọc Phúc Trường Minh - số 8 đường Châu Văn Liêm, phường Từ Liêm, Hà Nội CS3: Tầng 1, Gold Season - số 47 Nguyễn Tuân, phường Thanh Xuân, Hà Nội CS4: Tầng 10, Keangnam Landmark Tower - phường Yên Hòa, Hà Nội CS5: Tầng 3, Tasco Mall - 7 - 9 đường Nguyễn Văn Linh, phường Việt Hưng, Hà Nội CS6: Tầng 1, HPC Landmark 105 - Khu ĐTM Văn Khê, phường Hà Đông, Hà Nội CS7: Tầng 1, 2 & 3 Tòa nhà Kosmo - 161 Xuân La, phường Xuân Đỉnh, Hà Nội Hotline đặt lịch: 091.110.3243 - Tổng đài: 024.3927.5565 |










