Nướu răng đóng vai trò quan trọng trong việc bảo vệ chân răng và thẩm mỹ nụ cười. Tuy nhiên, nếu bạn nhận thấy vùng lợi của mình sưng to bất thường, che lấp một phần thân răng và có màu đỏ sậm, thì rất có thể bạn đang phải đối mặt với bệnh lý viêm lợi phì đại. Vậy viêm lợi phì đại là gì, đâu là những nguyên nhân phổ biến gây ra tình trạng này và làm thế nào để điều trị dứt điểm? Bài viết này của Răng Hàm Mặt Bệnh viện Hồng Ngọc sẽ giúp bạn giải đáp chi tiết.
Viêm lợi phì đại là gì?
Viêm lợi phì đại là một bệnh lý nha chu đặc trưng bởi sự tăng sinh bất thường về kích thước của mô nướu. Nói cách khác, mô lợi của người bệnh sẽ bị sưng to, dày lên quá mức cần thiết.
Bản chất của viêm lợi phì đại là một biến chứng nặng, phát triển từ giai đoạn viêm lợi thông thường. Theo đó, mô nướu bị viêm kéo dài sẽ dẫn đến phản ứng tăng sinh của các mô liên kết và tế bào.

Nguyên nhân phổ biến gây ra viêm lợi phì đại
Viêm lợi phì đại có thể đến từ nhiều nguyên nhân khác nhau, cụ thể như sau:
Sự tích tụ của vi khuẩn và vệ sinh răng miệng kém
Đây là nguyên nhân phổ biến nhất, sinh ra các bệnh lý về nướu nghiêm trọng:
Mảng bám và cao răng: Khi vệ sinh răng miệng không kỹ lưỡng, mảng bám thức ăn và vi khuẩn sẽ tích tụ, dần cứng lại thành cao răng.
Kích ứng kéo dài: Vi khuẩn trong mảng bám sản sinh độc tố, gây kích ứng và viêm nướu dai dẳng. Phản ứng viêm nhiễm mãn tính này kích thích mô nướu tăng sinh quá mức, dẫn đến tình trạng phì đại.
Yếu tố cấu trúc răng: Răng mọc lệch, khớp cắn không chuẩn, hay việc sử dụng răng giả, khí cụ chỉnh nha không vừa vặn cũng tạo ra các khu vực khó vệ sinh, làm trầm trọng thêm tình trạng nhiễm khuẩn.

Tác dụng phụ của thuốc
Một số loại thuốc điều trị bệnh lý như thuốc chống co giật, thuốc điều trị huyết áp, ức chế miễn dịch… có thể gây ra tác dụng phụ là tăng sản nướu, làm nướu dày lên, tạo điều kiện cho vi khuẩn dễ xâm nhập và gây viêm lợi phì đại. Các loại thuốc này làm thay đổi quá trình trao đổi chất của tế bào nướu, kích thích mô liên kết tăng sinh mạnh mẽ.
Do một số bệnh lý hiện có trong cơ thể
Viêm lợi phì đại cũng có thể là biểu hiện của các vấn đề sức khỏe bên trong cơ thể hoặc sự mất cân bằng nội tiết tố:
Thay đổi nội tiết tố: Các giai đoạn như tuổi dậy thì, mang thai, và mãn kinh khiến nồng độ hormone estrogen và progesterone tăng cao. Điều này làm tăng lưu lượng máu đến nướu, khiến nướu nhạy cảm, dễ bị viêm sưng đỏ và dẫn đến phì đại.
Bệnh lý cơ thể: Các bệnh như tiểu đường, bệnh về máu (bệnh máu trắng), tuyến giáp, và ung thư có thể làm suy yếu hệ miễn dịch, làm tăng nguy cơ mắc và làm nặng thêm bệnh về nướu.
U xơ nướu di truyền: Một số trường hợp hiếm gặp là do yếu tố di truyền, nướu tăng sinh tự nhiên và bao phủ thân răng ngay từ khi mọc răng sữa.
>>> Xem thêm:
Dấu hiệu nhận biết rõ rệt viêm lợi phì đại
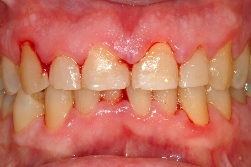
Khác với viêm lợi thông thường, viêm lợi phì đại có những đặc điểm nhận diện rất rõ ràng. Hình ảnh viêm lợi phì đại thường liên quan đến sự tăng trưởng quá mức của mô nướu.
Nướu sưng to và biến dạng
Dấu hiệu dễ nhận biết nhất chính là kích thước nướu tăng lên bất thường, che lấp thân răng:
Mô nướu bị sưng lên, dày và tròn hơn so với bình thường. Ở mức độ nặng, nướu có thể che phủ hơn nửa thân răng, khiến răng trông ngắn đi.
Màu sắc nướu thay đổi sang đỏ tươi, đỏ sẫm hoặc hơi xanh, bề mặt căng bóng và mềm khi chạm vào. Ngược lại, nướu có màu hồng nhạt, trông cứng và dày, bề mặt có thể gồ ghề nếu ở dạng xơ hóa.
Nướu dạng phù nề rất dễ chảy máu khi đánh răng, dùng chỉ nha khoa hoặc khi chạm nhẹ vào.
Cảm giác khó chịu và đau đớn
Các triệu chứng khó chịu thường đi kèm với tình trạng viêm nhiễm:
Người bệnh có thể cảm thấy nóng rát, đau âm ỉ ở nướu, đặc biệt là khi ăn uống.
Nướu trở nên nhạy cảm hơn với thức ăn, đồ uống quá nóng hoặc quá lạnh.
Việc nhai thức ăn dai, cứng có thể gây đau nhức hoặc làm tổn thương nướu đang sưng.

Vấn đề vệ sinh và hơi thở
Do sự tăng sinh của nướu, việc vệ sinh trở nên phức tạp, dẫn đến các vấn đề sau:
Nướu phì đại tạo ra các khoảng trống sâu hơn giữa răng và nướu, nơi mảnh vụn thức ăn và vi khuẩn dễ dàng bị mắc kẹt, gây nhiễm trùng.
Sự tích tụ mảng bám, vi khuẩn và dịch viêm trong các túi lợi là nguyên nhân gây ra hơi thở có mùi hôi khó chịu.
Trong các trường hợp viêm lợi phì đại nặng, người bệnh có thể cảm thấy mệt mỏi, suy nhược và thậm chí là sưng hạch bạch huyết ở cổ hoặc dưới cằm.
Mức độ nguy hiểm và biến chứng khôn lường của viêm lợi phì đại
Nếu chỉ nhìn qua hình ảnh viêm lợi phì đại, nhiều người có thể nghĩ đây chỉ là vấn đề thẩm mỹ. Tuy nhiên, nếu không được điều trị kịp thời, bệnh lý này có thể dẫn đến những hệ lụy nghiêm trọng cho sức khỏe người bệnh:
Suy giảm chức năng nhai và thẩm mỹ
Khó khăn khi ăn: Nướu sưng to, đau nhức khiến người bệnh cảm thấy khó chịu, ngại nhai, đặc biệt là thức ăn cứng, dai, dẫn đến việc ăn uống kém, ảnh hưởng đến dinh dưỡng tổng thể.
Mất thẩm mỹ: Nướu che lấp thân răng quá nhiều làm nụ cười kém duyên, gây tự ti trong giao tiếp, đặc biệt với những người làm công việc đòi hỏi vẻ ngoài chỉn chu.
Tổn thương nha chu và nguy cơ mất răng
Đây là biến chứng nguy hiểm nhất của viêm lợi phì đại mà người bệnh cần đặc biệt lưu tâm:
Tụt lợi và lộ chân răng: Dù nướu sưng to nhưng khả năng bám dính vào răng lại suy giảm, dẫn đến tụt lợi. Viêm lợi phì đại cũng khiến chân răng bị lộ ra ngoài, từ đó tăng nguy cơ ê buốt và nhạy cảm.
Tiêu xương ổ răng: Tình trạng viêm nhiễm kéo dài, không được kiểm soát sẽ phá hủy xương ổ răng. Xương bị tiêu đi khiến răng mất đi nền tảng vững chắc.
Răng lung lay và rụng: Khi xương ổ răng bị tiêu, răng sẽ trở nên lung lay và cuối cùng có thể dẫn đến mất răng vĩnh viễn, kể cả những chiếc răng đang khỏe mạnh.

Ngoài những hệ lụy trên, viêm lợi phì đại còn gây nên các bệnh lý toàn thân nguy hiểm nếu không được điều trị kịp thời. Lúc này, vi khuẩn gây viêm từ nướu có thể đi vào máu, gây ra bệnh tim mạch, đột quỵ, tiểu đường. Đặc biệt đối với phụ nữ có thai còn gây ra nguy cơ sinh non, đe dọa đến sức khỏe của mẹ và bé.
>>> Xem thêm:
Các phương pháp điều trị viêm lợi phì đại phổ biến hiện nay
Việc điều trị viêm lợi phì đại đòi hỏi sự can thiệp chuyên sâu từ nha sĩ, tùy thuộc vào nguyên nhân và mức độ nghiêm trọng của bệnh.
Điều trị nội khoa đối với các trường hợp nhẹ
Mục tiêu là loại bỏ yếu tố gây bệnh tại chỗ và kiểm soát tình trạng viêm nhiễm:
Loại bỏ mảng bám và cao răng là bước cơ bản đầu tiên và bắt buộc. Bác sĩ sẽ dùng máy siêu âm để lấy sạch cao răng và mảng bám ở cả trên và dưới nướu để loại bỏ môi trường sống của vi khuẩn.
Bác sĩ sát khuẩn tại chỗ, giúp người bệnh kiểm soát viêm trước mắt. Sau đó sẽ kê đơn các loại kháng sinh và thuốc kháng viêm để tiêu diệt vi khuẩn và giảm triệu chứng viêm
Liệu pháp xơ hóa (Dạng viêm lợi phù nề): Trong một số trường hợp, bác sĩ có thể tiêm các dung dịch gây xơ hóa vào nhú lợi để giảm sưng.

Điều trị bằng phẫu thuật cho những trường hợp bệnh nặng
Nếu nướu đã tăng sinh lớn, không thích ứng với điều trị nội khoa thì lúc này, phẫu thuật là phương pháp tối ưu nhất được đưa ra:
Tiểu phẫu cắt lợi: Bác sĩ sẽ tiến hành cắt bỏ toàn bộ phần mô nướu bị phì đại, tổn thương hoặc hoại tử để khôi phục hình dạng nướu ban đầu, cũng như loại bỏ các túi lợi giả chứa vi khuẩn. Tại Răng Hàm Mặt Bệnh viện Hồng Ngọc, tiểu phẫu cắt lợi thường được thực hiện bằng công nghệ Laser hoặc đốt điện. Phương pháp này giúp giảm chảy máu, ít đau đớn, vết thương mau lành và đảm bảo tính thẩm mỹ cao.
Ghép nướu: Sau khi cắt bỏ phần lợi thừa, bác sĩ có thể cần tiến hành ghép nướu để khôi phục đường viền nướu đẹp, giúp bảo vệ chân răng và ngăn ngừa tụt lợi.
Lưu ý quan trọng: Đối với các trường hợp viêm lợi phì đại do thuốc, bác sĩ nha khoa sẽ phối hợp với bác sĩ chuyên khoa khác để cân nhắc thay đổi hoặc điều chỉnh liều lượng thuốc điều trị bệnh nếu có thể.
Kết luận
Như vậy, viêm lợi phì đại là một bệnh lý nha chu không thể xem thường. Việc nướu sưng to, chảy máu không chỉ gây khó khăn trong sinh hoạt mà còn là dấu hiệu cảnh báo nguy cơ mất răng và các bệnh lý nguy hiểm khác.
Để bảo vệ nụ cười và sức khỏe của mình, hãy duy trì thói quen vệ sinh răng miệng khoa học và thăm khám nha khoa định kỳ. Nếu bạn nhận thấy dấu hiệu viêm lợi phì đại, hãy đến ngay Răng Hàm Mặt Bệnh viện Hồng Ngọc. Đội ngũ chuyên gia tại Hồng Ngọc sẽ chẩn đoán chính xác nguyên nhân và áp dụng phác đồ điều trị tiên tiến nhất, giúp bạn loại bỏ dứt điểm tình trạng viêm lợi phì đại, khôi phục sức khỏe và thẩm mỹ.
KHOA RĂNG HÀM MẶT BỆNH VIỆN HỒNG NGỌC – NHA SĨ RIÊNG CỦA BẠN! 📞 Hotline đặt lịch: 091.110.3243 - Tổng đài: 024.3927.5565 🌐 Website: https://thammyhongngoc.vn/nha-khoa 📍 Hệ thống phòng khám Răng Hàm Mặt Hồng Ngọc tại Hà Nội: - CS1: Tầng 2, Bệnh viện Hồng Ngọc - Số 55 Phố Yên Ninh, phường Ba Đình, Hà Nội - CS2: Tầng B1, tầng 1 & tầng 4, Bệnh viện Hồng Ngọc Phúc Trường Minh - Số 8 đường Châu Văn Liêm, phường Từ Liêm, Hà Nội - CS3: Tầng 1, GoldSeason - Số 47 Nguyễn Tuân, phường Thanh Xuân, Hà Nội - CS4: Tầng 10, Keangnam Landmark Tower, phường Yên Hòa, Hà Nội - CS5: Tầng 3, Tasco Mall - 7 - 9 đường Nguyễn Văn Linh, phường Việt Hưng, Hà Nội - CS6: Tầng 1, HPC Landmark 105 - Khu ĐTM Văn Khê, phường Hà Đông, Hà Nội - CS7: Tầng 1, 2 & 3 Tòa nhà Kosmo - 161 Xuân La, phường Xuân Đỉnh, Hà Nội |










