Đôi mắt được ví như cửa sổ tâm hồn, là điểm nhấn quan trọng trên khuôn mặt, giúp chúng ta thể hiện cảm xúc và giao tiếp với thế giới. Tuy nhiên, theo thời gian hoặc do các yếu tố bẩm sinh, nhiều người phải đối diện với tình trạng sụp mí mắt. Điều này không chỉ khiến đôi mắt trông lờ đờ, mệt mỏi và thiếu sức sống, mà còn có thể hạn chế tầm nhìn, gây khó khăn trong sinh hoạt hàng ngày. Vậy đâu là nguyên nhân gây ra hiện tượng này? Dấu hiệu nhận biết và giải pháp điều trị nào là an toàn và hiệu quả nhất? Bài viết này sẽ cùng bạn đi sâu tìm hiểu.
Sụp mí mắt là gì?
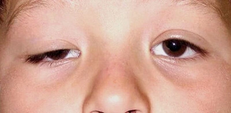
Sụp mí mắt là một thuật ngữ y khoa dùng để mô tả hiện tượng mí mắt trên nằm ở vị trí thấp hơn mức bình thường. Đây là tình trạng bờ mi trên và phần da mi bị sa xuống, che khuất một phần con ngươi.
Tình trạng này có thể xuất hiện ở một bên mắt hoặc cả hai bên mắt. Mặc dù sụp mí không gây đau đớn ngay lập tức, nhưng nó trực tiếp cản trở tầm nhìn của người bệnh, khiến việc mở mắt trở nên khó khăn và gây cảm giác mệt mỏi cho khuôn mặt.

Nguyên nhân dẫn đến tình trạng sụp mí mắt
Tình trạng sụp mí mắt có thể xảy ra do nhiều yếu tố khác nhau và được phân loại thành các nhóm chính như sau:
Sụp mí bẩm sinh
Sụp mí bẩm sinh là nguyên nhân phổ biến nhất, chiếm tỷ lệ lớn (khoảng 55% – 75%) tổng số ca sụp mí mắt hiện nay. Tình trạng này xuất hiện khi trẻ mới sinh hoặc hình thành trong những năm đầu đời:
Bất thường về cơ: Nguyên nhân chủ yếu do những bất thường trong kết cấu hoặc rối loạn chức năng của cơ nâng mí mắt.
Dị dạng: Cũng có thể do giãn đoạn dẫn truyền thần kinh - cơ vùng mắt, gây ra tình trạng bất cân xứng giữa hai bên mắt, hẹp khe mi, hoặc dị dạng sọ mặt đi kèm. Biểu hiện sụp mí sẽ ngày càng rõ ràng hơn khi trẻ lớn lên.

Sụp mí do yếu tố tự nhiên/ lão hóa
Đây là loại sụp mí mắt phổ biến nhất ở người trưởng thành và lớn tuổi:
Suy yếu cơ: Quá trình lão hóa khiến da mất đi tính đàn hồi. Cơ nâng mi trên dần yếu đi, dãn mỏng, và chỗ bám của cơ nâng mi bị nhão hoặc tuột ra. Điều này làm giảm trương lực cơ mí, khiến da và bờ mi bị sa xuống.
Thói quen xấu: Thường xuyên dụi mắt mạnh, kéo mí mắt quá mức (do kích ứng hoặc sử dụng kính áp tròng dài ngày) cũng là hành động tác động tiêu cực, đẩy nhanh quá trình sụp mí do cân cơ.

>>> Xem thêm:
Sụp mí mắt do bệnh lý
Sụp mí mắt có thể là dấu hiệu ban đầu hoặc hậu quả của các bệnh lý liên quan đến thần kinh và cơ bắp, cụ thể như sau:
Bệnh nhược cơ: Sụp mí chính là biểu hiện ban đầu của bệnh lý này, thường gặp ở độ tuổi 40 đến 60.
Tổn thương thần kinh: Liên quan đến các hội chứng như Hội chứng Horner, đột quỵ, u não, hoặc tổn thương dây thần kinh do bệnh tiểu đường không kiểm soát và huyết áp cao.
Các bệnh lý khác: Sụp mí cũng có thể bắt nguồn từ sa da mi, u, hạch, hoặc bệnh đau mắt hột.
Sụp mí mắt do chấn thương và sử dụng thuốc
Các chấn thương nghiêm trọng ở vùng mắt như va đập hoặc phẫu thuật thẩm mỹ mắt thất bại cũng có thể gây ra sụp mí mắt. Bên cạnh đó, một số loại thuốc điều trị như thuốc giãn cơ, thuốc huyết áp, kháng sinh, hoặc việc tiêm botox có thể gây ra tác dụng phụ là sụp mí mắt tạm thời.
Dấu hiệu và mức độ nhận biết mắt sụp mí
Việc nhận biết sụp mí mắt là bước quan trọng để có phương pháp điều trị kịp thời, đặc biệt là ở trẻ nhỏ nhằm tránh nhược thị sau này.
Dấu hiệu nhận biết sụp mí mắt rõ ràng
Tình trạng sụp mí mắt được cho là khá dễ nhận biết, khi có những dấu hiệu sau đây, bạn cần có phương pháp điều trị dứt điểm. Một số dấu hiệu nhận biết như sau:
Sa mí mắt: Mí mắt trên và da mi bị sa xuống, che khuất một phần hoặc gần hết con ngươi (đồng tử).
Khó mở mắt: Người bệnh có cảm giác mở mắt khó khăn, tầm nhìn kém, mắt luôn trong trạng thái lờ đờ, mệt mỏi và thiếu sức sống.
Xu hướng điều chỉnh: Để điều chỉnh thị lực và nhìn rõ hơn, người bệnh thường có xu hướng ngửa cao đầu, nhăn trán hoặc nhướng lông mày liên tục nhằm nâng mí mắt lên.

Phân loại mức độ sụp mí
Dựa trên mức độ che lấp đồng tử và ảnh hưởng đến thị lực, sụp mí mắt được phân loại thành 3 mức độ phổ biến như sau:
| Mức độ | Mức độ che lấp đồng tử | Ảnh hưởng thị lực và cử động mắt |
| Mức độ nhẹ (Độ I) | Đồng tử bị che lấp một phần nhưng chưa đến 50%. | Mức độ nhanh nhạy của mắt giảm đi khoảng 30%. |
| Mức độ vừa (Độ II) | Mí mắt che lấp khoảng 60% đồng tử. | Thị lực suy giảm rõ rệt. Khi quan sát, mắt phải rướn lên mới có thể nhìn thấy được. |
| Mức độ nghiêm trọng (Độ III) | Mí mắt che khuất gần hết tầm nhìn. | Thị lực suy giảm nghiêm trọng. Rất khó khăn để thực hiện các cử động trên mí mắt. |
Ảnh hưởng và biến chứng do sụp mí mắt
Sụp mí mắt không chỉ là một vấn đề về thẩm mỹ mà còn ảnh hưởng nghiêm trọng đến chức năng thị giác và sức khỏe của người bệnh, đặc biệt là ở trẻ nhỏ.
Ảnh hưởng trực tiếp đến thị lực và sức khỏe mắt
Giảm thị lực và nhược thị: Khi mí mắt che phủ con ngươi, vùng nhìn của người bệnh sẽ bị hạn chế. Nếu tình trạng này kéo dài, đặc biệt ở trẻ em đang trong giai đoạn phát triển thị giác, có thể dẫn đến nhược thị (hay còn gọi là mắt lười), từ đó làm giảm sức nhìn vĩnh viễn. Thống kê tại Việt Nam hiện nay, có khoảng 63,1% số mắt nhược thị là do sụp mí kèm theo tật khúc xạ gây ra.
Các tật về mắt khác: Sụp mí nặng có thể gây loạn thị do mí mắt tạo áp lực lên phía trước mắt, làm thay đổi hình dạng mắt và tầm nhìn bị hạn chế. Thậm chí, có đến 3,5% trường hợp sụp mí gây ra lác hoặc loạn thị.

Ảnh hưởng đến tư thế sau này
Để có thể nhìn rõ, người bị sụp mí thường phải thực hiện các hành động, tư thế không tự nhiên, dẫn đến dị tật và biến dạng:
Bị tật tư thế: Việc ngửa cổ, nhướng mắt, hoặc nhăn trán lâu dài để tự điều chỉnh tầm nhìn có thể hình thành thói quen xấu, gây ra các vấn đề về cổ, căng cơ trán, đau đầu mãn tính.
Biến dạng cơ: Ở trẻ em, tư thế ngửa cao đầu, nhướng lông mày kéo dài có thể dẫn đến vẹo cột sống và xơ hóa các cơ quanh cổ, ảnh hưởng lớn đến sự phát triển cơ xương sau này.
Ảnh hưởng đến thẩm mỹ và tâm lý
Mí mắt bị sụp khiến đôi mắt luôn trong trạng thái lờ đờ, mệt mỏi, làm khuôn mặt thiếu sức sống và già hơn tuổi. Điều này gây mất tự tin trong giao tiếp và có thể ảnh hưởng tiêu cực đến tâm lý người bệnh.
Phương pháp điều trị và cách khắc phục sụp mí mắt
Mục đích chính của việc điều trị sụp mí mắt là cải thiện chức năng thị giác, cũng như cải thiện tính thẩm mỹ. Để tìm được phương pháp điều trị phù hợp, bác sĩ sẽ tìm nguyên nhân gây sụp mi để đưa ra phác đồ can thiệp.
Điều trị bằng phẫu thuật (Can thiệp chuyên sâu)
Phẫu thuật là phương pháp an toàn và hiệu quả nhất, thường được chỉ định khi sụp mí do bẩm sinh, lão hóa hay tai nạn.
| Loại sụp mí | Phương pháp phẫu thuật | Mục tiêu và kỹ thuật |
| Sụp mí bẩm sinh | Cắt ngắn cơ nâng mí trên | Áp dụng khi chức năng cơ nâng mi tốt hoặc trung bình (Biên độ vận động cơ nâng mí từ 5mm trở lên). |
| Treo mí trên vào cơ trán | Áp dụng khi chức năng cơ nâng mí kém. Sử dụng các vật liệu như cân cơ đùi, silicon, hoặc dây treo sinh học để kéo một phần cơ mi mắt lên cơ trán. Giúp mí mắt mở to hơn và cân xứng. | |
| Sụp mí do lão hóa | Phẫu thuật nâng mí | Tiểu phẫu loại bỏ da chùng, mỡ thừa và căng lại da mí. Thường áp dụng đối với trường hợp sụp mí nhẹ (chức năng cơ nâng mi tốt từ 10-15 mm), giúp mí mắt căng hơn và bám theo đường mí cũ. |
| Sụp mí cơ học | Phẫu thuật loại bỏ/chỉnh sửa | Thực hiện loại bỏ khối u, hạch, hoặc chỉnh sửa phần cơ học gây cản trở (như sa da mi) để phục hồi sụp mí. |
| Sụp mí nhẹ (Chức năng cơ nâng mí tốt (1-3 mm) | Phẫu thuật nâng nền | Phẫu thuật nâng nền điều chỉnh độ sụp mí nhẹ. |
Lưu ý quan trọng: Đối với trẻ em bị sụp mí mức độ nặng (Độ II, Độ III), cần phải điều trị bằng phẫu thuật sớm để đề phòng nhược thị, đảm bảo thị lực phát triển bình thường.

>>> Xem thêm:
Điều trị không phẫu thuật và phòng ngừa sụp mí mắt
Các phương pháp này chủ yếu nhằm cải thiện tình trạng sụp mí do thói quen, mệt mỏi, hoặc giúp phòng ngừa sụp mí do lão hóa.
Chế độ sinh hoạt khoa học:
Ngủ đủ giấc, tránh thức quá khuya.
Sau 30-60 phút làm việc liên tục với máy tính hoặc thiết bị điện tử, hãy cho mắt nghỉ ngơi bằng cách nhắm mắt thư giãn 10-15 phút.
Hạn chế sử dụng kính áp tròng thường xuyên.
Áp dụng các bài tập massage cơ mặt:
Thường xuyên nhắm mắt, rướn lông mày lên hết cỡ rồi hạ từ từ (10-15 lần/ngày). Bài tập này giúp cải thiện sụp mí do lão hóa, tuổi tác.
Massage vùng trán và huyệt thái dương giúp lưu thông bạch huyết, hỗ trợ nâng mí và lưu thông máu tốt cho vùng mắt.
Bên cạnh đó, người bị sụp mí cũng cần bổ sung thực phẩm giàu Vitamin A, Vitamin E tốt cho mắt, uống đủ nước, hạn chế cà phê và chất kích thích. Cuối cùng là đi khám bác sĩ chuyên khoa mắt ngay khi có bất thường để chẩn đoán chính xác nguyên nhân và có phác đồ điều trị kịp thời.
Kết luận
Sụp mí mắt là một vấn đề y khoa phổ biến nhưng bạn không nên xem nhẹ, bởi nó không chỉ làm ảnh hưởng đến thẩm mỹ, mà còn tiềm ẩn nguy cơ gây suy giảm thị lực và các tật về mắt. Việc điều trị sụp mí mắt đòi hỏi sự chẩn đoán chính xác về nguyên nhân và mức độ sụp mí. Tại Thẩm mỹ Bệnh viện Hồng Ngọc, với đội ngũ bác sĩ chuyên khoa giàu kinh nghiệm và áp dụng các kỹ thuật phẫu thuật tiên tiến, chúng tôi cam kết mang lại giải pháp an toàn, hiệu quả và phù hợp nhất cho từng tình trạng mí mắt.
THẨM MỸ BỆNH VIỆN HỒNG NGỌC - KIẾN TẠO VẺ ĐẸP RIÊNG CỦA BẠN Hotline tư vấn: 091.110.3243 - 024.3927.5565 |











