Bạn đã từng trải qua cảm giác đau nhức, sưng tấy khó chịu ở vùng răng trong cùng, kèm theo hơi thở không mấy dễ chịu? Rất có thể, đó chính là dấu hiệu của viêm lợi trùm - một bệnh lý răng miệng phổ biến nhưng lại bị bỏ qua. Bệnh lý này thường xuất hiện khi răng bắt đầu nhô lên. Viêm lợi trùm sẽ gây phiền toái trong ăn uống, giao tiếp và tiềm ẩn nhiều biến chứng nguy hiểm nếu không được điều trị kịp thời. Vậy chính xác viêm lợi trùm là gì, nguyên nhân do đâu và đâu là giải pháp điều trị dứt điểm. Hãy cùng Răng Hàm Mặt Bệnh viện Hồng Ngọc tìm hiểu qua bài viết dưới đây!
Viêm lợi trùm là gì?
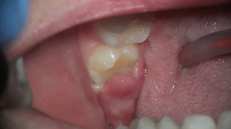
Viêm lợi trùm là thuật ngữ nha khoa mô tả tình trạng mô nướu mềm xung quanh chiếc răng đang mọc bị sưng viêm và nhiễm trùng (đặc biệt là vị trí của răng số 8). Khi răng khôn không thể mọc lên hoàn toàn do thiếu không gian hoặc mọc lệch, một phần nướu phía trên sẽ bao phủ lấy bề mặt răng, tạo thành vạt nướu. Từ đó thức ăn, mảng bám và vi khuẩn dễ dàng tích tụ, dẫn đến hiện tượng viêm nhiễm, gây đau nhức và sưng tấy.
Hiện nay, viêm lợi trùm lên răng được chia thành hai dạng chính dựa theo mức độ và thời gian diễn biến của bệnh, đó là viêm lợi trùm cấp tính và mãn tính.

Nguyên nhân dẫn đến viêm lợi trùm ở người lớn
Viêm lợi trùm là hệ quả của cấu trúc răng miệng và thói quen vệ sinh hàng ngày. Dưới đây là những nguyên nhân cốt lõi dẫn đến tình trạng này:
Răng khôn mọc không hoàn chỉnh: Việc răng khôn mọc xiên, mọc ngang hoặc mọc ngầm do không có đủ không gian, khiến nướu bao phủ một phần răng là nguyên nhân hàng đầu gây viêm lợi trùm.
Vệ sinh răng miệng kém: Với những người lười đánh răng hoặc vệ sinh răng miệng không đúng cách thì việc loại bỏ những mảnh vụn thức ăn bám vào kẽ răng càng khó khăn. Mảnh vụn thức ăn lúc này dễ kẹt lại dưới nướu trùm, tạo môi trường ẩm ướt lý tưởng cho vi khuẩn phát triển.
Chấn thương: Tổn thương vùng nướu do cắn hoặc nhai thức ăn có thể làm tình trạng viêm trở nên trầm trọng hơn, đặc biệt đối với lợi trùm răng hàm dưới.
Niềng răng: Kỹ thuật niềng răng không chuẩn có thể gây áp lực không đều lên răng, làm răng di chuyển sai vị trí, gây kích ứng và viêm lợi.
Tình trạng răng miệng trước đó: Nếu bạn đang gặp các vấn đề răng miệng như sâu răng, viêm nha chu… mà không được điều trị kịp thời thì tỷ lệ mắc viêm lợi trùm có mủ rất cao.
Thói quen sống: Việc hút thuốc lá, thường xuyên chịu căng thẳng, áp lực kéo dài có thể làm giảm sức đề kháng của cơ thể và khoang miệng, khiến bệnh dễ dàng phát triển.
Phụ nữ mang thai: Sự thay đổi nội tiết tố trong thai kỳ làm cho nướu dễ bị nhạy cảm và sưng viêm hơn, tạo điều kiện thuận lợi cho bệnh lý nha chu phát triển.

>>> Xem thêm:
Viêm lợi phì đại là gì? Nguyên nhân nào gây nên tình trạng phì đại ở lợi?
Viêm lợi có mủ nguy hiểm không? Dấu hiệu và cách điều trị dứt điểm
Triệu chứng nhận biết viêm lợi trùm
Việc nhận biết sớm các triệu chứng của viêm lợi trùm là chìa khóa giúp người bệnh có phương án điều trị sớm và ngăn ngừa biến chứng. Khi bệnh bùng phát, các dấu hiệu thường rất rõ ràng và gây khó chịu cho người bệnh:
Đau đớn và sưng tấy vùng mọc răng
Đây được xem là dấu hiệu đầu tiên và phổ biến nhất. Lúc này, phần lợi xung quanh vị trí răng đang mọc sẽ trở nên:
Sưng phồng: Mô lợi trùm bị viêm, căng lên, đôi khi bao phủ gần hết mặt nhai của răng khôn.
Đỏ tấy: Màu sắc nướu chuyển sang đỏ sẫm hoặc đỏ tươi do viêm nhiễm.
Đau dữ dội: Cơn đau có thể lan ra các vùng lân cận, gây khó khăn khi nhai nuốt, nói chuyện, và đặc biệt là khi há miệng.

Miệng bị hôi và lợi xuất hiện mủ
Trong nhiều trường hợp, sự nhiễm trùng sâu bên dưới vạt nướu sẽ hình thành mủ, khiến người bệnh đau đớn:
Viêm lợi trùm có mủ: Khi dùng tay hoặc lưỡi ấn nhẹ vào vùng lợi bị sưng, có thể thấy dịch mủ chảy ra. Đây là dấu hiệu của nhiễm trùng nặng hơn.
Hơi thở có mùi hôi: Mùi hôi khó chịu xuất phát từ sự tích tụ của vi khuẩn, mảng bám và dịch mủ bị kẹt dưới vạt lợi.
Giảm vị giác: Cảm giác nhạt miệng hoặc có vị kim loại trong miệng có thể xuất hiện.
Phản ứng chống lại của cơ thể
Khi bệnh tiến triển nặng hoặc ở giai đoạn cấp tính, cơ thể sẽ phản ứng mạnh mẽ hơn:
Sốt và mệt mỏi: Người bệnh có thể lên cơn sốt nhẹ hoặc sốt cao do cơ thể đang chống lại sự nhiễm trùng. Kèm theo đó là cảm giác mệt mỏi, khó chịu.
Sưng hạch bạch huyết: Các hạch bạch huyết ở vùng cổ hoặc góc hàm có thể bị sưng lên. Đây là dấu hiệu cho thấy hệ thống miễn dịch đang hoạt động để ngăn chặn sự lây lan của vi khuẩn.
Co cứng hàm: Trong trường hợp nặng, người bệnh có thể gặp khó khăn khi há miệng hoặc khó nuốt thức ăn.

Biến chứng nguy hiểm của viêm lợi trùm răng nếu không được điều trị
Nhiều người thường chủ quan bỏ qua các cơn đau viêm lợi trùm vì nghĩ rằng nó sẽ tự khỏi. Tuy nhiên, nếu không được phát hiện và can thiệp kịp thời, bệnh lý này có thể dẫn đến những hệ lụy nghiêm trọng cho sức khỏe như sau:
Viêm nhiễm lan rộng và kéo dài
Nếu tình trạng viêm lợi trùm kéo dài, vi khuẩn sẽ phát triển sâu hơn và lan rộng, gây ra các bệnh lý nha khoa phức tạp khác:
Nhiễm trùng có thể lan sang các cấu trúc xung quanh như dây chằng nha chu, sàn miệng, niêm mạc lưỡi, má, và cả xương ổ răng.
Cơ thể người bệnh sẽ gặp các bệnh lý nghiêm trọng hơn như viêm nha chu, áp xe chân răng, viêm tủy răng, và sâu răng nặng.
Vi khuẩn dễ dàng lây lan sang răng số 7 (răng hàm liền kề), làm yếu chân răng, gây lung lay, hoặc thậm chí là mất răng số 7 khỏe mạnh.

Ảnh hưởng đến sức khỏe tổng thể
Biến chứng của viêm lợi trùm không chỉ dừng lại ở khoang miệng, mà còn ảnh hưởng đến sức khỏe tổng thể của người bệnh:
Rối loạn tiêu hóa: Cảm giác đau kéo dài, khó nhai nuốt khiến người bệnh ăn uống kém, mệt mỏi, suy nhược cơ thể và có nguy cơ dẫn đến các rối loạn về tiêu hóa.
Nguy cơ bệnh hô hấp: Sức đề kháng của niêm mạc hầu họng và amidan bị giảm sút do nhiễm trùng. Từ đó làm tăng nguy cơ mắc các bệnh viêm nhiễm đường hô hấp như viêm phế quản, viêm phổi.
Nguy cơ nhiễm trùng máu đe dọa tính mạng
Trong những trường hợp cực kỳ nghiêm trọng, đặc biệt khi nhiễm trùng cấp tính không được kiểm soát, vi khuẩn có thể xâm nhập vào mạch máu và lây lan đến các cơ quan quan trọng khác trong cơ thể như tim, phổi, não và khớp. Tình trạng này được gọi là “nhiễm trùng huyết”, có thể đe dọa trực tiếp đến tính mạng nếu không được can thiệp kịp thời tại bệnh viện.
Vì vậy, việc phát hiện sớm, nhìn nhận đúng mức độ nghiêm trọng qua các dấu hiệu, hình ảnh viêm lợi trùm và điều trị dứt điểm tại cơ sở nha khoa uy tín là vô cùng cần thiết.
Viêm lợi trùm có tự khỏi được không?
Về lý thuyết, viêm lợi trùm có thể tự khỏi trong một số trường hợp cực kỳ hiếm gặp. Điều này chỉ xảy ra khi tình trạng viêm nhiễm ở mức độ rất nhẹ, và chiếc răng khôn may mắn mọc thẳng, đủ lực để tự đẩy phần lợi trùm lên trên và vượt qua rào cản nướu.
Tuy nhiên, trên thực tế, đại đa số các trường hợp viêm lợi trùm không thể tự khỏi hoặc nếu có, triệu chứng cũng chỉ thuyên giảm tạm thời rồi tái phát trở lại theo chu kỳ. Do đó, để ngăn ngừa các biến chứng nguy hiểm như đã đề cập và giải quyết vấn đề triệt để, người bệnh cần phải thăm khám nha sĩ để được chẩn đoán chính xác.
>>> Xem thêm:
Một số phương pháp điều trị lợi trùm an toàn, hiệu quả
Tùy thuộc vào mức độ viêm nhiễm và nguyên nhân gây viêm lợi, bác sĩ sẽ đề xuất một hoặc nhiều phương pháp điều trị kết hợp dưới đây:
Kiểm soát mức độ viêm bằng thuốc
Phương pháp này áp dụng cho các trường hợp viêm lợi trùm nhẹ, chưa có biến chứng sâu rộng, hoặc trong giai đoạn chuẩn bị trước khi thực hiện tiểu phẫu:
Sử dụng dung dịch sát khuẩn chuyên dụng hoặc nước muối sinh lý ấm để làm sạch khu vực bị viêm, loại bỏ mảng bám và vi khuẩn.
Bác sĩ có thể kê đơn thuốc giảm đau và thuốc kháng sinh để kiểm soát cơn đau, hạ sốt, và ngăn chặn sự phát triển của vi khuẩn.
Kê thuốc chống phù nề nếu tình trạng sưng tấy quá nghiêm trọng.
Cắt lợi trùm
Phương pháp này được cân nhắc khi răng khôn được xác định là mọc thẳng hàng và chỉ bị vạt lợi trùm bao phủ. Sau khi gây tê cục bộ, bác sĩ sẽ tiến hành tiểu phẫu cắt bỏ phần mô lợi thừa đang che phủ răng khôn. Mục đích của phương pháp này là tạo điều kiện cho răng khôn tiếp tục mọc lên hoàn toàn, giải phóng môi trường tích tụ vi khuẩn.
Tuy nhiên, viêm lợi trùm vẫn có nguy cơ tái phát nếu quá trình vệ sinh sau phẫu thuật không đảm bảo hoặc nếu răng khôn vẫn còn xu hướng mọc ngầm.

Nhổ răng khôn
Đây là biện pháp điều trị triệt để và dứt điểm nhất, được khuyến cáo trong các trường hợp răng khôn mọc lệch, mọc ngầm, hoặc có dấu hiệu mọc bất thường gây tổn thương đến răng số 7 bên cạnh, hoặc khi viêm lợi trùm tái phát nhiều lần.
Ưu điểm của phương pháp này là loại bỏ tận gốc nguyên nhân gây bệnh, khắc phục tình trạng viêm nhiễm vĩnh viễn và ngăn ngừa mọi biến chứng nguy hiểm có thể xảy ra trong tương lai.

Những lưu ý quan trọng khi chữa trị và phòng ngừa viêm lợi trùm
Để quá trình điều trị đạt hiệu quả cao và phòng ngừa bệnh tái phát, bạn cần lưu ý đến các vấn đề sau đây:
Thăm khám nha sĩ ngay lập tức khi có dấu hiệu đau nhức, sưng tấy hoặc nhận thấy viêm lợi trùm có mủ.
Tuân thủ tuyệt đối chỉ định của bác sĩ về liều lượng thuốc (kháng sinh, giảm đau) và các biện pháp chăm sóc tại nhà.
Đánh răng tối thiểu 2 lần/ngày bằng bàn chải mềm, đặc biệt chú ý đến khu vực răng khôn. Sử dụng chỉ nha khoa và súc miệng bằng nước muối ấm hoặc dung dịch sát khuẩn.
Tuyệt đối không sử dụng rượu, bia, thuốc lá và các chất kích thích khác trong quá trình điều trị viêm lợi trùm và sinh hoạt sau này.
Nên ăn các thực phẩm mềm, lỏng, giàu Vitamin và khoáng chất. Hạn chế đồ ăn quá cay, quá nóng, quá lạnh hoặc có tính dẻo, dai dễ bám vào kẽ răng.
Thăm khám nha khoa định kỳ (6 tháng/lần), việc này giúp bác sĩ kiểm tra, làm sạch mảng bám và sớm phát hiện, xử lý các răng khôn mọc lệch trước khi chúng kịp gây ra viêm lợi trùm.
Kết luận
Viêm lợi trùm là một bệnh lý nha khoa phổ biến, gây đau đớn và khó chịu kéo dài, nhưng hoàn toàn có thể điều trị dứt điểm nếu được can thiệp kịp thời và đúng cách. Việc chủ quan sẽ khiến bệnh dễ tái đi tái lại, thậm chí dẫn đến những biến chứng nguy hiểm.
Nếu bạn đang gặp phải các dấu hiệu của viêm lợi trùm, đừng ngần ngại đến Răng Hàm Mặt Bệnh viện Hồng Ngọc. Với đội ngũ bác sĩ chuyên khoa giàu kinh nghiệm và trang thiết bị hiện đại, chúng tôi cam kết mang lại quy trình thăm khám và điều trị an toàn, triệt để, giúp bạn loại bỏ hoàn toàn viêm lợi trùm và lấy lại nụ cười khỏe mạnh.
KHOA RĂNG HÀM MẶT BỆNH VIỆN HỒNG NGỌC – NHA SĨ RIÊNG CỦA BẠN! 📞 Hotline đặt lịch: 091.110.3243 - Tổng đài: 024.3927.5565 🌐 Website: https://thammyhongngoc.vn/nha-khoa 📍 Hệ thống phòng khám Răng Hàm Mặt Hồng Ngọc tại Hà Nội: - CS1: Tầng 2, Bệnh viện Hồng Ngọc - Số 55 Phố Yên Ninh, phường Ba Đình, Hà Nội - CS2: Tầng B1, tầng 1 & tầng 4, Bệnh viện Hồng Ngọc Phúc Trường Minh - Số 8 đường Châu Văn Liêm, phường Từ Liêm, Hà Nội - CS3: Tầng 1, GoldSeason - Số 47 Nguyễn Tuân, phường Thanh Xuân, Hà Nội - CS4: Tầng 10, Keangnam Landmark Tower, phường Yên Hòa, Hà Nội - CS5: Tầng 3, Tasco Mall - 7 - 9 đường Nguyễn Văn Linh, phường Việt Hưng, Hà Nội - CS6: Tầng 1, HPC Landmark 105 - Khu ĐTM Văn Khê, phường Hà Đông, Hà Nội - CS7: Tầng 1, 2 & 3 Tòa nhà Kosmo - 161 Xuân La, phường Xuân Đỉnh, Hà Nội |










